

At Green Leaf Dentistry, we’re proud to offer a comprehensive range of dental treatments and services for Seattle patients of all ages. With the latest technology and advanced techniques, we can help you achieve the smile of your dreams, but you don’t just have to take our word for it. Check out some of our favorite smile transformations, and see the kind of care you can expect from Dr. Yoni.

This patient had his smile transformed with immediate dentures. We custom-crafted his new smile to fit the shape and function of his mouth, restoring a natural balance. This ultimately resulted in a smile that looked completely natural. He went to sleep with missing teeth and walked out of our practice with not only a renewed smile but confidence too! He's anxiously looking forward to the next step of adding implant support.

This patient was experiencing dissatisfaction with her smile due to end-to-end clashing front teeth, which were causing a poor jaw alignment and generalized spacing issues that disrupted her facial aesthetics.
This is a beautiful 20 aligner case, (about 40 weeks), that we set-up with our old aligner wear protocol and is still one of our favorite cases due to the dramatic change in our patient’s appearance and function. This case utilized carefully selected Invisalign root-control attachments to prevent teeth from tipping while closing large spaces, as well as Dr. Yoni’s own IPR (tooth slenderizing/polishing) protocol to help tighten lower gum gaps due to fan-shaped teeth. We also utilized the Green Leaf Dental space-closure retention protocol to prevent this beautiful smile from being undone after completing Invisalign treatment.

This patient was experiencing low confidence in her smile as a result of large diastemas (spaces) between her proclined (tipped forward) upper front teeth. Her teeth caused her lip profile to be compromised.
This was a 24 week Invisalign Case that closed the anterior spaces, improved the patient’s tooth and lip profile, and left her smiling from ear to ear. This case utilized carefully chosen Invisalign attachment sets to maintain an already healthy posterior bite while widening the patient’s smile. We also used Dr. Yoni’s own IPR (tooth slenderizing/polishing protocol) to make up for tooth size discrepancies between upper and lower arches that would otherwise compromise the final result, and the Green Leaf Dental space-closure retention protocol to prevent this beautiful smile from being undone after completion. This case also utilized the Green Leaf Dental “Munchie” Protocol for predictable and accelerated orthodontic movement.

When this patient showed up for their consultation, he was missing several lower molars and had multiple large posterior restorations that were failing, as well as fractured teeth. His narrow dental arches contributed to difficulty chewing and articulating speech, tongue thrusting, a partial crossbite, an anterior open-bite, mouth breathing, and even precursors to sleep Apnea.
This amazing patient arrived in our office with a hopeless dental disposition and little enthusiasm or confidence in achieving any significant progress, but after 19 weeks of Invisalign and pre-prosthetic placement of two lower implants by our periodontist, Dr. Lena, his smile and his confidence had been restored.

This patient came to us with severely worn front teeth, a slanted smile line, flattened tooth appearance that was aging his smile. He had multiple sensitive teeth with fractured enamel at the root surface, due to tipped teeth and heavy clenching.
This was an “Invisalign first” cosmetic restorative case that was so satisfying. Within 4 months of active movement, we sufficiently relieved lower crowded teeth, balanced this patient’s smile arc and bite, made room to lengthen his upper front teeth and removed the destructive forces from his bite. This case utilized Dr. Yoni’s own IPR (tooth slenderizing/polishing protocol) to close lower gum gaps after straightening crowded fan-shaped teeth, Green Leaf Dental’s “BITE RAMP” protocol for clenching control and relief, a round of in-office Zoom Whitening™ and 4 beautiful and natural Veneers to restore youth and vigor to his smile.

This patient came to us with a deep bite (low-hanging overbite), multiple worn and chipped teeth, and a narrow arch that further compromised her facial aesthetics. She said to us, “I want to resolve my crowded teeth before my wedding,” and we certainly delivered!
This was an 11 month case that resulted in a spectacular change for our patient. She had full resolution of over-crowded lower teeth and a dramatic change in bite depth, (and just look at that wide, bright smile!). This case utilized Dr. Yoni’s own IPR (tooth slenderizing/polishing) protocol to help resolve crowding and make room for deep bite correction. This case also utilized the “GAIP” deep-bite protocol developed by Dr. Yoni’s mentor, Dr. David Galler, “The Wolf of Invisalign,” and featured post-treatment manicuring of worn edges. We’re still buzzing about this case!

This patient was dissatisfied with her smile due to a partial anterior crossbite (criss-crossed front teeth) that was causing her difficulty with chewing and smiling without the risk of chipping and wearing down her front teeth. This case is a life changer and one of our favorite Invisalign cases ever!
Our beautiful patient was so committed to Dr. Yoni’s special crossbite correction protocol, that the initial crossover was completed in just 13 weeks. We followed up with one refinement to dial in the bite and then performed conservative cosmetic bonding to repair years of wear and chipping, restoring a youthful look to her beautiful front two teeth. Together, we decided to retain the natural character shape of the two neighbor teeth rather than bonding or manicuring them, and we love the result. This case utilized Dr. Yoni’s conservative IPR (tooth slenderizing/polishing) protocol to help create harmony in the anterior bite, and the Green Leaf Dental “Munchie” protocol leading to accelerated and predictable orthodontic movement

This patient was seeking to boost the low smile confidence she was experiencing due to her narrow arches, moderate crowding, and an anterior crossbite, (criss-crossed front teeth). Not only are crossbites aesthetically unappealing, but they can be functionally destructive to the jaw joints, facial muscles, and even the teeth themselves.
After only 20 weeks of active treatment, we nailed it! Our patient had a beautiful resolution of the crossbite and finished treatment with a more protected and balanced orthodontic disposition. This case utilized Dr. Yoni’s special cross-bite protocols and IPR (tooth slenderizing/polishing protocol) technique in conjunction with arch widening to help resolve the lower crowding and bring a more harmonious appearance to this patient’s smile. Green Leaf Dental “Munchie” Protocol was used for predictable and accelerated orthodontic movement.

This patient crowded arches and end-to-end clashing front teeth led to multiple fractured and worn front teeth, as well as angry, inflamed gums and an uneven bite. When she came to our office, she was looking to regain confidence in her smile.
After just 16 weeks of initial Invisalign treatment, with one refinement phase, we’re proud to say we helped this patient regain her confidence in her smile and herself. Her new smile proudly displays happy gums, an even and stable bite, and beautifully restored upper front teeth. She also experienced better alignment allowing for better jaw positioning and improved breathing. This Invisalign case setup utilized Dr. Yoni’s own IPR (tooth slenderizing/polishing protocol), arch widening, conservative cosmetic bonding, and post-Invisalign edge manicuring (this is a complimentary Green Leaf polishing protocol to smooth and even out minor chips and wear at the end of the Invisalign process). This case also utilized the Green Leaf Dental “Munchie” protocol for predictable and accelerated orthodontic movement.

This patient was experiencing dissatisfaction with her smile due to her narrow dental arches and clashing front teeth that had prevented a large fracture from being restored for over 13 years.This case was a satisfying fix because of the simplicity and effectiveness of our Invisalign treatment plan. We were able to make room to fix a cosmetic issue that this beautiful patient had been living with for years without a solution. While we initially discussed a crown to fix the large fracture post-Invisalign treatment, we ultimately chose to complete a customized cosmetic bonding treatment that left our patient in (happy) tears.

This patient came to us with large diastemas (spaces) between upper front teeth, proclined tipped forward upper front teeth, and overall low confidence in his smile.
After only 30 weeks of active treatment, this patient could not be happier with his new smile! This case utilized carefully chosen Invisalign attachment sets to maintain an already healthy posterior bite while widening the patient’s smile, Dr. Yoni’s own IPR (tooth slenderizing/polishing protocol) to make up for tooth size discrepancies between upper and lower arches that would otherwise compromise the case finish, and the Green Leaf Dental space-closure retention protocol to prevent this beautiful smile from being undone after completing Invisalign Treatment. He finished his post Invisalign Glow-up with in-office Zoom whitening. This case also utilized the Green Leaf Dental “Munchie” Protocol to lead to predictable and accelerated orthodontic movement.

This patient had reduced confidence in her smile because of her narrow dental arches, as well as her uneven smile and bite, which resulted in a partial anterior crossbite (criss-crossed front teeth) and a crowded lower arch. During her consultation visit we discussed her undersized lateral incisors (the teeth on either side of the upper front two) and possibly changing their size and shape with cosmetic bonding post-Invisalign.
After Only 20 weeks of Initial treatment with one refinement phase, this patient was so ecstatic with her new smile that she opted against cosmetic bonding for the smaller teeth. This Invisalign case setup utilized Dr. Yoni’s own IPR (tooth slenderizing/polishing) protocol for the lower front teeth along with widening both upper and lower arches to resolve this patient’s crowding and bring harmony to her smile.

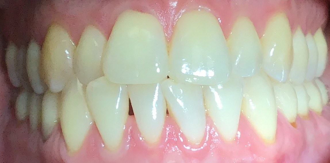
This patient came to us with clashing front teeth, an uneven bite, crowing on their lower teeth and a general dissatisfaction with her smile.
We go out of our way to design our Invisalign treatment to fit with our patient’s busy lifestyles and special considerations. This case was completed with only 14 weeks of attachment wear (the invisible, tooth-colored custom brackets that aid in tooth control and anchorage during Invisalign treatment) by a special request from our patient and virtually zero in-office interim visits. This case utilized Dr. Yoni’s own IPR (tooth slenderizing/polishing protocol) to close lower gum gaps after straightening crowded fan-shaped teeth, Green Leaf Dental’s “BITE RAMP” protocol for clenching control and relief and a round of in-office Zoom Whitening™.